Kouření marihuany může být pro plíce horší než kouření cigaret

DOPORUČENÝ ČLÁNEK
TOP 6 TIPŮ JAK SPRÁVNĚ UKLIDIT CELOU KUCHYŇ BĚHEM PÁR MINUT

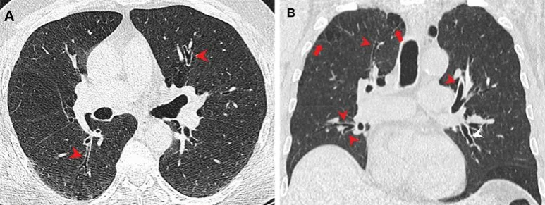
Plicní emfyzém u (A, B) marihuany a (C, D) kuřáků tabáku. (A) Axiální a (B) koronální CT snímky u 44letého muže kuřáka marihuany ukazují paraseptální emfyzém (šipky) v bilaterálních horních lalocích. (C) Axiální a (D) koronální CT snímky u 66leté kuřačky tabáku s centrilobulárním emfyzémem reprezentovaným oblastmi centrilobulární lucence (šipky). Kredit: Radiologická společnost Severní Ameriky
„Skutečnost, že naši kuřáci marihuany – z nichž někteří také kouřili tabák – měli další nálezy zánětu dýchacích cest/chronické bronchitidy, naznačuje, že marihuana má další synergické účinky na plíce než tabák,“ řekla. "Naše výsledky byly navíc stále významné, když jsme porovnávali věkově neodpovídající skupiny, včetně mladších pacientů, kteří kouřili marihuanu a kteří byli pravděpodobně méně celoživotně vystaveni cigaretovému kouři."
Existuje pravděpodobně několik faktorů, které přispívají k rozdílům mezi těmito dvěma skupinami. Marihuana se kouří nefiltrovaná, poznamenal Dr. Revah, zatímco tabákové cigarety jsou obvykle filtrované. To má za následek, že se z kouření marihuany dostává do dýchacích cest více částic.
Kromě toho je marihuana inhalována s delším objemem zadržování dechu a potáhnutí než tabákový kouř.
"Bylo navrženo, že kouření marihuanového jointu ukládá v plicích čtyřikrát více částic než průměrná tabáková cigareta," řekl Dr. Revah. "Tyto částice pravděpodobně dráždí dýchací cesty."
Vyšší výskyt emfyzému může být způsoben i způsobem kouření marihuany. Úplná inhalace s trvalým Valsalvovým manévrem, pokus o výdech proti uzavřeným dýchacím cestám, může vést k traumatu a změnám periferního vzdušného prostoru.
Dr. Revah řekl, že je zapotřebí další výzkum s většími skupinami lidí a více údajů o tom, kolik a jak často lidé kouří. Budoucí výzkum by se mohl také podívat na dopad různých inhalačních technik, jako je bong, joint nebo dýmka.
"Bylo by zajímavé zjistit, zda má inhalační metoda nějaký význam," řekl Dr. Revah.
Zdroj: https://scitechdaily.com
.png)



.png)
